Legkedvesebb ultrahangom használata közben
Az ultrahang gép a nevéhez méltóan ultrahangokat bocsát ki és mint egy jól képzett denevér, a visszaverődő hangokat felfogja és elemzi. Bizonyos szöveteken átmegy, másokról visszaverődik. Ultrahanggal elsősorban az úgynevezett lágy szöveteket vizsgáljuk, de nagyon sok fontos információt kaphatunk a csontok felszínéről is.
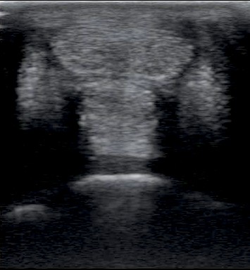
Egy keresztmetszeti kép a csüd alatti inakról
Praxisunkban elsősorban a végtagokat vizsgáljuk. Nagy pontossággal meg lehet határozni a legtöbb ín és szalag sérülését, illetve annak mértékét, de figyelemmel követhetjük a gyógyulást is. Leggyakrabban a felületes ujjhajlító ín és az egyenítő szalag (amit csüdfüggesztő szalagnak, suspensory ligamentnek és interosseus izomnak is hívunk) elváltozásait szoktuk látni, de gyakran vizsgáljuk a mély ujjhajlítót, a járulékos szalagját, a szezámcsonti szalagokat, a biceps izom inát és az ízületek oldalsó szalagjait. Nézünk továbbá nyálkatömlőket, ínhüvelyeket, csont- és porcfelszínt is.
A ló ortopédián kívül gyakran használjuk az ultrahangot a szaporodásbiológiában, a hasűri szervek vizsgálatakor és rendellenes képletek, duzzanatok, sipolyok vizsgálatánál.



