Mindenki találkozhat sérülésekkel a lovak körül. Fontos tudni, hogy mikor kell mindenképpen állatorvoshoz fordulni, illetve mikor nem.

Nem kell állatorvosi beavatkozás a bőrnek olyan felszíni, horzsolásos sérüléseinél, amikor a teljes bőr nem szakad át, a ló terheli a végtagjait, jókedvű, eszik, trágyázik. Ha egy-két napon belül a sérült rész erősen beduzzad, vagy bármilyen egyéb állapotromlást tapasztalunk, valószínűleg jobb gyógyszeres kezelést kezdeni.
Amennyiben a bőr teljesen átszakad, mindenképpen érdemes orvost hívni, mégpedig relatíve gyorsan. Elsősegélyként érdemes a sebet tiszta vízzel kimosni, majd fertőtleníteni, tiszta kötéssel ellátni. Ezzel időt nyerünk. Egy kis magyarázat ennek a megértéséhez: A seb mindenképpen szennyeződik, baktériumok telepednek meg benne. Átlagosan 6 óra alatt szaporodnak el annyira a baktériumok, hogy a seb összevarrása esetén nagy eséllyel szétnyílik. Ezt nevezi az orvosi irodalom „arany hat órának” (golden six hours). Ha a szennyeződéseket eltávolítjuk, a sebet fertőtlenítjük, esetleg kötéssel nedvesen tartjuk, javulnak a sebgyógyulás esélyei. Ha a sebet össze akarjuk varrni, nagy hátrány, ha előtte gondosan befújják valami színes spray-vel, mert ezt nagyon nehéz az élő szövetekről letisztítani.
Sebvarrás
A bőrsebeknél fontos tényező, hogy hol keletkeznek. A fej sebei kiválóan gyógyulnak. A testen ennél kevésbé, de jók, a végtagokon a gyengébb vérellátás és a feszülési viszonyok miatt rosszabbak a feltételek. Itt is érdemes a sebet összevarrni, de számítani kell rá, hogy esetleg szétnyílik a seb. Fontos, hogy a leszakadt bőrlebenyeknek van-e vérellátása, vagy roncsolódtak az erei. Amennyiben a vérellátás sérült, ez a bőr részlet el fog halni, hiába varrjuk össze, a sebnek utólag, másodlagosan kell gyógyulnia. De, ami a legfontosabb, hogy megtudjuk, hogy sérült-e a bőr alatt valami fontos anatómiai képlet elsősorban ízület, ínhüvely, nyálkatömlő. Ezt néha még állatorvosoknak is nehéz eldönteni, van olyan helyzet, hogy csak műtét közben derül ki. Ezért nem szabad félvállról venni a végtagok sérüléseit, mert egy egyszerűnek tűnő bőrseb is okozhat életveszélyes helyzetet.
A ficamok szerencsére nagyon ritkák. Szinte biztosan műtéti, de legalább kórházi ellátást követelnek. A törések kicsit gyakoribbak. Még mindig sokan úgy hiszik, hogy csonttörésből nem épülhet fel ló, pedig többször meggyógyulnak, mint ahányszor nem! A legtöbb törés műtéti ellátást igényel. A törések diagnosztizálása néha nagyon nehéz, CT felvétel készítésére is szükség lehet!
A törések elbírálásánál a következő tényezőket kell megvizsgálni:
- A ló kora: fiatal lónak jobbak a gyógyulási paraméterei, így több az esélye.
- A törés helye: mennél lejjebb van a törés, annál jobbak az esélyek.
- A törés jellege: az egyszerűbb törések sokkal könnyebben gyógyulnak és műthetőek, mint az összetett, romtörések.
- Ha a törés ízületbe terjed, rosszabb az esély, hiszen az ízület is károsodhat emiatt.
- Ha a törés nyílt, drasztikusan csökkennek a gyógyulás kilátásai.

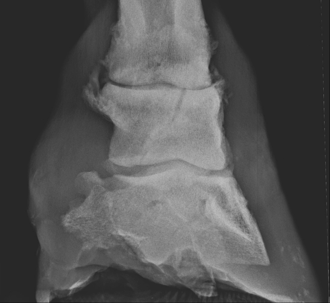
A pártacsont törése súlyos ízületi degenerációhoz vezetett



